koszalinstomatolog.pl – Porady stomatologiczne, profilaktyka i zdrowy uśmiech
Jak umówić się do dentysty bez stresu i niepotrzebnych kosztów – praktyczne porady
Dowiedz się, jak umówić się do dentysty bez stresu i niepotrzebnych kosztów. Praktyczne porady na temat rejestracji online, dokumentów, terminów i wyboru gabinetu.
Czy dentysta może dać zwolnienie? Kiedy i jak uzyskać L4 od stomatologa
Czy dentysta może dać zwolnienie? Sprawdź, kiedy stomatolog wystawia L4, jakie są procedury i jak uzyskać zwolnienie lekarskie od dentysty.
Bezpieczne sposoby na zapalenie dziąseł w ciąży – jak uniknąć bólu i problemów
Dowiedz się, co na zapalenie dziąseł w ciąży jest bezpieczne. Sprawdź domowe sposoby, zalecenia stomatologiczne i jak dbać o dziąsła, by uniknąć bólu i problemów.
Na jakie zęby zakłada się aparat? Wszystko o leczeniu wad zgryzu i rodzajach aparatów
Na jakie zęby zakłada się aparat? Poznaj rodzaje aparatów ortodontycznych, proces leczenia wad zgryzu i dowiedz się, jak działa aparat na zęby przednie i tylne.
Jak skutecznie usunąć kamień z zębów domowymi sposobami bez wizyty u dentysty
Poznaj skuteczne domowe sposoby na kamień nazębny. Dowiedz się, jak usunąć kamień z zębów naturalnymi metodami i zadbaj o zdrowie jamy ustnej bez wizyty u dentysty.
Artykuły z kategorii Zęby
Kategoria Stomatologia
Czy podczas okresu można iść do dentysty? Sprawdź, czy to bezpieczne
Czy podczas okresu można iść do dentysty? Sprawdź, czy menstruacja wpływa na leczenie zębów i jak przygotować się do wizyty. Bezpieczeństwo i praktyczne porady.
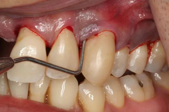
Jak dentysta usuwa kamień nazębny? Proces, metody i co warto wiedzieć przed zabiegiem
Dowiedz się, jak dentysta usuwa kamień nazębny – poznaj metody skalingu, korzyści z zabiegu i porady przed wizytą. Sprawdź, czy skaling boli i jak dbać o zęby po higienizacji.
Ile kosztuje prywatna wizyta u dentysty i jak uniknąć wysokich rachunków
Sprawdź, ile kosztuje prywatna wizyta u dentysty i jak uniknąć wysokich rachunków. Poznaj ceny usług stomatologicznych oraz porady, aby wybrać najlepszą ofertę.
Ile naprawdę zarabia dentysta miesięcznie? Sprawdź, czy to się opłaca!
Ile zarabia dentysta miesięcznie? Sprawdź średnie zarobki dentystów w Polsce, porównaj pensje w różnych miastach i dowiedz się, czy to się opłaca!
Gdzie znaleźć dentystę przyjmującego w sobotę? Sprawdź dostępne gabinety i usługi
Szukasz dentysty przyjmującego w sobotę? Sprawdź listę gabinetów, usługi stomatologiczne i porady, jak umówić wizytę w weekend.
Kategoria Zgryz
Ile naprawdę kosztuje ruchomy aparat na zęby i jak uniknąć ukrytych opłat
Ile kosztuje aparat na zęby ruchomy? Sprawdź aktualne ceny, rodzaje i czynniki wpływające na koszt. Dowiedz się, jak uniknąć ukrytych opłat i wybrać najlepsze rozwiązanie dla siebie.