Przetoka zęba to stan zapalny, który może prowadzić do poważnych problemów zdrowotnych, jeśli nie zostanie odpowiednio wcześnie rozpoznany i leczony. Charakteryzuje się powstaniem kanału łączącego ognisko zapalne z powierzchnią skóry lub błony śluzowej, co często objawia się bólem, obrzękiem i ropną wydzieliną. W tym artykule dowiesz się, jak rozpoznać objawy przetoki zęba, jakie są jej przyczyny oraz jak skutecznie jej zapobiegać.
Nie lekceważ przetoki zęba, ponieważ nieleczona może prowadzić do poważnych powikłań, takich jak ropnie czy zapalenie kości. Warto wiedzieć, że szybka reakcja i wizyta u dentysty mogą znacząco zmniejszyć ryzyko dalszych problemów. Przedstawiamy również skuteczne metody leczenia oraz porady, jak dbać o higienę jamy ustnej, aby uniknąć tego bolesnego schorzenia.
Kluczowe informacje:
- Przetoka zęba to stan zapalny, który objawia się bólem, obrzękiem i ropną wydzieliną.
- Głównymi przyczynami są nieleczona próchnica, infekcje i urazy zębów.
- Diagnoza obejmuje badanie kliniczne oraz zdjęcia rentgenowskie.
- Leczenie może obejmować antybiotyki, leczenie kanałowe lub ekstrakcję zęba.
- Nie ignoruj objawów – szybka wizyta u dentysty może zapobiec powikłaniom.
- Profilaktyka obejmuje regularne wizyty u stomatologa i prawidłową higienę jamy ustnej.
Czym jest przetoka zęba i dlaczego jest niebezpieczna
Przetoka zęba to stan zapalny, który powstaje w wyniku infekcji w okolicy korzenia zęba. Charakteryzuje się tworzeniem kanału, przez który ropa wydostaje się na zewnątrz, najczęściej do jamy ustnej lub skóry. Nieleczona może prowadzić do poważnych powikłań, takich jak ropnie czy zapalenie kości. Poniższa tabela porównuje przetokę zęba z innymi stanami zapalnymi:
| Stan zapalny | Objawy | Lokalizacja |
|---|---|---|
| Przetoka zęba | Ból, obrzęk, ropna wydzielina | Okolica korzenia zęba |
| Ropień dziąsła | Ból, zaczerwienienie, gorączka | Dziąsło |
| Zapalenie miazgi | Silny ból, wrażliwość na zimno/gorąco | Miazga zęba |
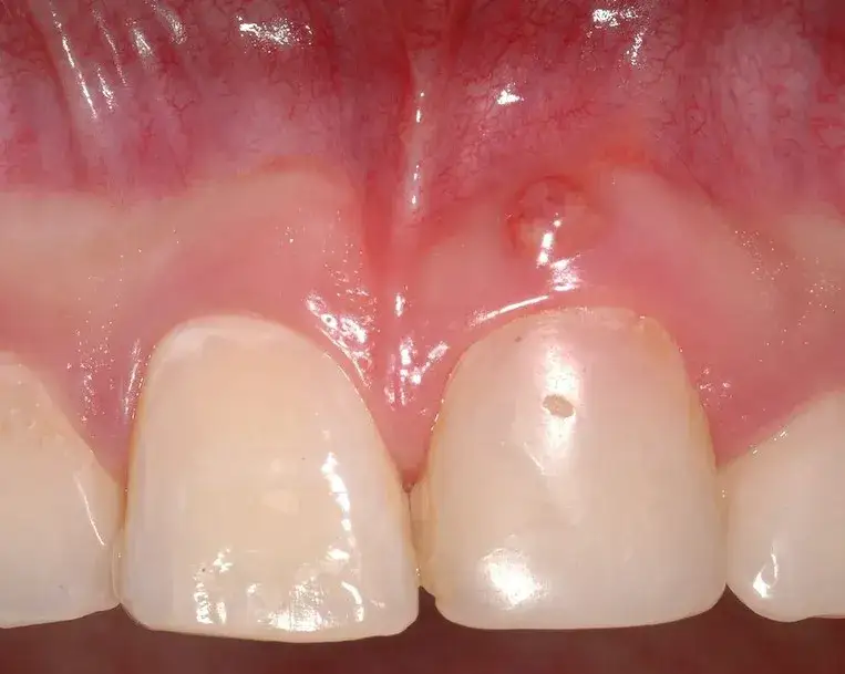
Najczęstsze objawy przetoki zęba: jak je rozpoznać
Pierwszym sygnałem, że mamy do czynienia z przetoką zęba, jest ból w okolicy zainfekowanego zęba. Może on promieniować do ucha lub skroni. Obrzęk dziąsła to kolejny charakterystyczny objaw, który często towarzyszy temu schorzeniu.
Ropna wydzielina to jeden z najbardziej widocznych symptomów. Może pojawić się w postaci małego guzka na dziąśle, z którego wydobywa się ropa. Inne objawy to nieprzyjemny zapach z ust, gorączka oraz ogólne osłabienie. Jeśli zauważysz te symptomy, nie zwlekaj z wizytą u dentysty.Przyczyny powstawania przetoki zęba: co prowadzi do stanu zapalnego
Przetoka zęba najczęściej powstaje w wyniku nieleczonej próchnicy, która prowadzi do infekcji miazgi zęba. Inne przyczyny to urazy mechaniczne, nieprawidłowo przeprowadzone leczenie kanałowe lub zaawansowane choroby przyzębia. Infekcja bakteryjna rozprzestrzenia się, tworząc ropę, która szuka ujścia na zewnątrz.- Nieleczona próchnica
- Infekcje bakteryjne
- Urazy zębów
- Nieprawidłowe leczenie kanałowe
Jak diagnozuje się przetokę zęba? Metody i procedury
Diagnoza przetoki zęba zaczyna się od dokładnego badania klinicznego. Dentysta ocenia stan zęba, dziąseł oraz obecność ropnej wydzieliny. Ważne jest również sprawdzenie, czy pacjent odczuwa ból przy dotyku.
Zdęcia rentgenowskie to kolejny krok w diagnostyce. Pozwalają one ocenić, czy infekcja dotarła do korzenia zęba lub kości szczęki. Na podstawie tych badań stomatolog podejmuje decyzję o dalszym leczeniu.
Czytaj więcej: Czy ból zębów może być od zatok? Objawy, przyczyny i skuteczne leczenie
Leczenie przetoki zęba: skuteczne metody i etapy
Leczenie przetoki zęba zależy od stopnia zaawansowania infekcji. W łagodniejszych przypadkach stosuje się antybiotyki, które zwalczają bakterie. Jeśli infekcja dotarła do miazgi zęba, konieczne może być leczenie kanałowe. W skrajnych przypadkach, gdy ząb nie nadaje się do uratowania, wykonuje się ekstrakcję.
- Antybiotyki
- Leczenie kanałowe
- Ekstrakcja zęba
- Drenaż ropnia
Domowe sposoby na złagodzenie objawów przetoki zęba
Płukanki z soli to jeden z najprostszych domowych sposobów na złagodzenie bólu i obrzęku. Rozpuść łyżeczkę soli w szklance ciepłej wody i płucz usta 2-3 razy dziennie. To pomoże zmniejszyć stan zapalny.
Unikaj drażniących pokarmów, takich jak słodycze, kawa czy ostre przyprawy. Mogą one nasilać ból i podrażniać dziąsła. Pamiętaj jednak, że domowe sposoby to tylko doraźna pomoc – nie zastąpią wizyty u dentysty.
Kiedy udać się do dentysty? Sygnały ostrzegawcze
Jeśli zauważysz u siebie przetoka zęba objawy, takie jak silny ból, obrzęk czy ropna wydzielina, nie zwlekaj z wizytą u specjalisty. Szybka reakcja może zapobiec poważnym powikłaniom, takim jak ropnie czy zapalenie kości.
Jak zapobiegać przetokom zęba? Skuteczne metody profilaktyki
Regularne wizyty u dentysty to podstawa profilaktyki. Zaleca się kontrolę co 6 miesięcy, aby wcześnie wykryć ewentualne problemy. Dentysta może również oczyścić zęby z kamienia, co zmniejsza ryzyko infekcji.
Prawidłowa higiena jamy ustnej to kolejny kluczowy element. Myj zęby przynajmniej 2 razy dziennie, używaj nici dentystycznej i płynów do płukania. Unikaj nadmiaru słodyczy, które sprzyjają rozwojowi bakterii.
Powikłania nieleczonej przetoki zęba: dlaczego nie warto zwlekać
Nieleczona przetoka zęba może prowadzić do poważnych konsekwencji zdrowotnych. Jednym z najczęstszych powikłań jest ropień, czyli nagromadzenie ropy w tkankach miękkich. Może on powodować silny ból, gorączkę i ogólne osłabienie organizmu. W skrajnych przypadkach infekcja może rozprzestrzenić się na kości szczęki, prowadząc do zapalenia kości.
- Ropnie w okolicy zęba
- Zapalenie kości szczęki
- Rozprzestrzenienie się infekcji na inne narządy
- Utrata zęba
Przetoka zęba u dzieci: jak rozpoznać i leczyć
U dzieci przetoka zęba może być szczególnie niebezpieczna, ponieważ ich układ odpornościowy nie jest jeszcze w pełni rozwinięty. Objawy są podobne jak u dorosłych: ból, obrzęk dziąsła i ropna wydzielina. Dziecko może również skarżyć się na problemy z jedzeniem lub gorączkę.
Leczenie u dzieci wymaga szczególnej ostrożności. Dentysta może zalecić antybiotyki lub leczenie kanałowe, w zależności od stopnia zaawansowania infekcji. Ważne jest, aby nie zwlekać z wizytą u stomatologa, ponieważ u dzieci infekcje rozwijają się szybciej.
Najczęstsze pytania o przetokę zęba: odpowiedzi ekspertów
Wiele osób ma wątpliwości dotyczące przetoki zęba. Czy można ją wyleczyć domowymi sposobami? Jak długo trwa leczenie? Poniżej znajdziesz odpowiedzi na najczęściej zadawane pytania:
| Pytanie | Odpowiedź |
|---|---|
| Czy przetoka zęba może zniknąć sama? | Nie, konieczne jest leczenie stomatologiczne. |
| Czy przetoka zęba jest zaraźliwa? | Nie, ale infekcja może się rozprzestrzeniać w obrębie jamy ustnej. |
| Czy można zapobiec przetoce zęba? | Tak, poprzez regularne wizyty u dentysty i prawidłową higienę jamy ustnej. |
Jak długo trwa leczenie przetoki zęba? Fakty i mity
Leczenie przetoki zęba zwykle trwa od kilku dni do kilku tygodni, w zależności od metody. Antybiotyki mogą przynieść ulgę już po 2-3 dniach, ale pełne wyleczenie wymaga dłuższego czasu. Leczenie kanałowe lub ekstrakcja zęba mogą zająć nawet kilka wizyt u dentysty.
Istnieje wiele mitów na temat przetoki zęba. Niektórzy uważają, że można ją wyleczyć samodzielnie, stosując domowe sposoby. To błąd – bez pomocy stomatologa infekcja może się pogłębić. Pamiętaj, że tylko specjalista może zapewnić skuteczne leczenie.
Dlaczego nie wolno lekceważyć przetoki zęba?
Przetoka zęba to nie tylko bolesny problem, ale także stan, który może prowadzić do poważnych powikłań. Jak wynika z artykułu, nieleczona infekcja może rozprzestrzenić się na kości szczęki, powodując zapalenie kości, a nawet utratę zęba. Szczególnie niebezpieczna jest u dzieci, u których układ odpornościowy nie jest jeszcze w pełni rozwinięty.
Leczenie przetoki zęba wymaga interwencji stomatologa. Domowe sposoby, takie jak płukanki solne, mogą jedynie złagodzić objawy, ale nie zastąpią profesjonalnej pomocy. Antybiotyki, leczenie kanałowe czy ekstrakcja zęba to metody, które mogą skutecznie zwalczyć infekcję. Ważne jest, aby nie zwlekać z wizytą u dentysty, ponieważ szybka reakcja może zapobiec poważnym konsekwencjom.
Profilaktyka odgrywa kluczową rolę w zapobieganiu przetokom. Regularne wizyty u dentysty, prawidłowa higiena jamy ustnej oraz unikanie nadmiaru słodyczy to podstawowe kroki, które mogą uchronić przed tym bolesnym schorzeniem. Pamiętaj, że przetoka zęba nie zniknie sama – tylko specjalista może zapewnić skuteczne leczenie.
