
Czy zepsuty ząb może powodować ból głowy? Sprawdź związek i rozwiązania
Czy od zepsutego zęba może boleć głowa? Dowiedz się, jaki jest związek między bólem zęba a głowy oraz jak sobie z tym radzić. Sprawdź przyczyny i rozwiązania!
Czy zepsuty ząb może powodować ból głowy? Sprawdź związek i rozwiązania
Czy od zepsutego zęba może boleć głowa? Dowiedz się, jaki jest związek między bólem zęba a głowy oraz jak sobie z tym radzić. Sprawdź przyczyny i rozwiązania!
Czy leczenie zębów pod narkozą jest bezpieczne? Ryzyko, korzyści i opinie ekspertów
Czy leczenie zębów pod narkozą jest bezpieczne? Poznaj korzyści, ryzyko i opinie ekspertów na temat znieczulenia ogólnego w stomatologii. Sprawdź, dla kogo jest to najlepsza opcja.
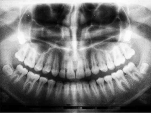
Kiedy wypadają zęby mleczne i co robić, gdy proces przebiega nietypowo
Dowiedz się, kiedy wypadają zęby mleczne, w jakim wieku to następuje i co robić, gdy proces przebiega nietypowo. Praktyczne porady dla rodziców.
Jak skutecznie usunąć kamień z zębów domowymi sposobami bez wizyty u dentysty
Poznaj skuteczne domowe sposoby na kamień nazębny. Dowiedz się, jak usunąć kamień z zębów naturalnymi metodami i zadbaj o zdrowie jamy ustnej bez wizyty u dentysty.
Ile trwa wyrywanie zęba 5? Sprawdź, jak uniknąć bólu i długiej rekonwalescencji
Ile trwa wyrywanie zęba 5? Dowiedz się, jak przygotować się do zabiegu, uniknąć bólu i przyspieszyć rekonwalescencję. Sprawdź koszty i porady!
Jak zatruć nerw w zębie? Niebezpieczeństwa i bezpieczne metody leczenia bólu
Dowiedz się, dlaczego samodzielne próby zatrucia nerwu w zębie są niebezpieczne. Poznaj bezpieczne metody leczenia bólu, domowe sposoby i korzyści leczenia kanałowego.
Bezpieczne sposoby na ból zęba przy karmieniu piersią – co możesz stosować?
Dowiedz się, co na ból zęba przy karmieniu piersią jest bezpieczne. Sprawdź skuteczne leki i naturalne metody, które nie zaszkodzą dziecku.
Gdzie w Bydgoszczy szukać pomocy z bólem zęba? Pilna pomoc dentystyczna
Szukasz pomocy z bólem zęba w Bydgoszczy? Sprawdź listę gabinetów oferujących pilną pomoc dentystyczną, także bez rejestracji. Szybka reakcja to klucz do zdrowia!
Czy można dokleić zęba do protezy? Sprawdź, jak naprawić protezę zębową skutecznie!
Czy można dokleić zęba do protezy? Dowiedz się, jak skutecznie naprawić protezę zębową, jakie metody wybrać i kiedy skonsultować się z protetykiem. Sprawdź porady!
Jak długo boli po usunięciu zęba i jak złagodzić nieprzyjemne dolegliwości
Dowiedz się, jak długo boli po usunięciu zęba, jakie objawy są normalne i jak złagodzić ból. Praktyczne porady na szybkie gojenie i uniknięcie powikłań.