Czy rak dziąsła boli? To pytanie często pojawia się u osób, które zauważają niepokojące zmiany w jamie ustnej. Rak dziąsła może powodować ból, ale nie zawsze jest to pierwszy objaw. Wiele zależy od stadium choroby oraz indywidualnych cech pacjenta. W początkowych fazach ból może być niewielki lub nawet nie występować, co sprawia, że choroba bywa wykrywana późno.
Ból dziąsła związany z rakiem najczęściej pojawia się, gdy nowotwór zaczyna naciekać okoliczne tkanki lub nerwy. Może mu towarzyszyć obrzęk, krwawienie czy trudności w jedzeniu. Ważne jest, aby nie ignorować takich symptomów, ponieważ wczesne wykrycie raka dziąsła znacząco zwiększa szanse na skuteczne leczenie. W tym artykule wyjaśniamy, jakie są objawy, przyczyny oraz kiedy ból może wskazywać na poważny problem.
Najważniejsze informacje:
- Rak dziąsła może powodować ból, ale nie zawsze jest to pierwszy objaw.
- Ból pojawia się zwykle w zaawansowanych stadiach, gdy nowotwór nacieka tkanki lub nerwy.
- Inne objawy to m.in. krwawienie, obrzęk, trudności w jedzeniu i niegojące się rany.
- Wczesne wykrycie raka dziąsła zwiększa szanse na skuteczne leczenie.
- Regularne kontrole u dentysty są kluczowe dla wczesnej diagnostyki.
Czy rak dziąsła zawsze powoduje ból? Wyjaśnienie objawów
Czy rak dziąsła boli? To pytanie nurtuje wiele osób, które zauważają niepokojące zmiany w jamie ustnej. Ból nie zawsze jest pierwszym objawem raka dziąsła, a jego nasilenie zależy od stadium choroby. W początkowych fazach nowotwór może rozwijać się bezboleśnie, co utrudnia wczesne wykrycie.
W zaawansowanych stadiach ból staje się bardziej intensywny, zwłaszcza gdy rak zaczyna naciekać tkanki lub nerwy. Poniższa tabela porównuje objawy wczesnych i późnych stadiów raka dziąsła:
| Wczesne stadium | Zaawansowane stadium |
|---|---|
| Niewielki ból lub jego brak | Silny, uporczywy ból |
| Lekkie krwawienie | Intensywne krwawienie |
| Niewielkie owrzodzenia | Duże, niegojące się rany |
Jakie są pierwsze oznaki raka dziąsła?
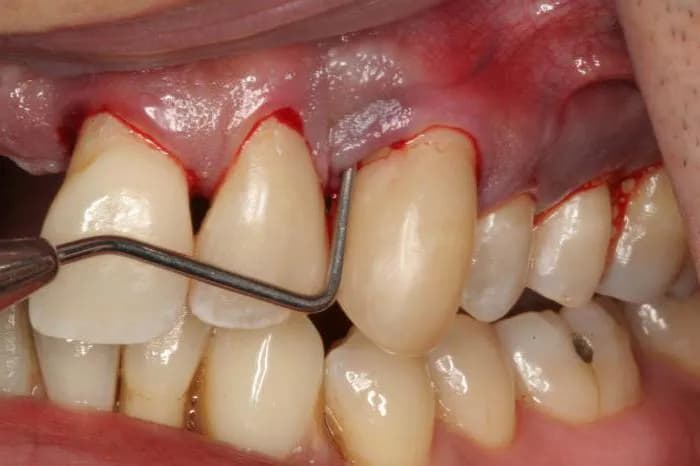
Pierwsze objawy raka dziąsła mogą być subtelne i łatwe do przeoczenia. Należą do nich niewielkie owrzodzenia, delikatne krwawienie podczas szczotkowania oraz lekki dyskomfort w okolicy dziąseł. Te symptomy często przypominają zwykłe podrażnienia, co sprawia, że wiele osób je ignoruje.
Niestety, bagatelizowanie wczesnych objawów może prowadzić do późnego wykrycia choroby. Warto pamiętać, że nawet niewielkie zmiany w jamie ustnej mogą być sygnałem alarmowym. Regularne kontrole u dentysty są kluczowe, aby wychwycić problem na wczesnym etapie.
Kiedy ból dziąsła może wskazywać na raka?
Ból dziąsła nie zawsze oznacza raka, ale w niektórych przypadkach może być niepokojącym sygnałem. Jeśli ból jest uporczywy, nasila się z czasem i towarzyszą mu inne objawy, takie jak krwawienie czy obrzęk, warto skonsultować się z lekarzem. Szczególnie niebezpieczne są sytuacje, gdy ból nie ustępuje po leczeniu domowymi sposobami. Czynniki ryzyka, które zwiększają prawdopodobieństwo, że ból dziąsła jest związany z rakiem, to:- Długotrwałe palenie tytoniu
- Nadużywanie alkoholu
- Przewlekłe stany zapalne dziąseł
- Obecność nieleczonych owrzodzeń
Dlaczego rak dziąsła powoduje ból? Mechanizmy choroby
Ból w przypadku raka dziąsła wynika z kilku mechanizmów. Po pierwsze, nowotwór wywołuje stan zapalny, który podrażnia tkanki i nerwy. Po drugie, w miarę rozwoju choroby dochodzi do naciekania okolicznych struktur, co dodatkowo zwiększa dyskomfort.
W zaawansowanych stadiach rak może uszkadzać kości szczęki, co prowadzi do silnego, trudnego do zniesienia bólu. Właśnie dlatego tak ważne jest wczesne wykrycie choroby, zanim zacznie ona powodować poważne uszkodzenia.
Czytaj więcej: Skuteczne sposoby na opuchnięte dziąsła – domowe metody i leki bez recepty
Inne objawy raka dziąsła, które mogą towarzyszyć bólowi
Ból to tylko jeden z wielu objawów raka dziąsła. Inne symptomy, które mogą się pojawić, to krwawienie, obrzęk, trudności w przeżuwaniu pokarmów oraz nieprzyjemny zapach z ust. W niektórych przypadkach obserwuje się również zmiany w ustawieniu zębów lub ich rozchwianie.
Dodatkowe objawy, które powinny wzbudzić czujność, to:
- Niegojące się rany w jamie ustnej
- Guzy lub zgrubienia na dziąsłach
- Trudności w mówieniu lub połykaniu
- Utrata masy ciała bez wyraźnej przyczyny
Jak diagnozuje się raka dziąsła? Krok po kroku
Diagnostyka raka dziąsła zaczyna się od dokładnego badania klinicznego. Dentysta ocenia stan jamy ustnej, szukając niepokojących zmian, takich jak owrzodzenia czy guzy. Jeśli podejrzewa nowotwór, zleca dodatkowe badania, np. biopsję.
W kolejnym etapie wykonuje się badania obrazowe, takie jak tomografia komputerowa czy rezonans magnetyczny. Pozwalają one ocenić, czy rak rozprzestrzenił się na okoliczne tkanki lub węzły chłonne. Wczesna i dokładna diagnostyka jest kluczowa dla skutecznego leczenia.
Czy rak dziąsła można wyleczyć? Opcje terapeutyczne
Leczenie raka dziąsła zależy od stadium choroby i ogólnego stanu zdrowia pacjenta. Wczesne wykrycie daje duże szanse na całkowite wyleczenie. Najczęściej stosowane metody to chirurgiczne usunięcie guza, radioterapia oraz chemioterapia.
Poniższa tabela przedstawia skuteczność poszczególnych metod leczenia w zależności od stadium choroby:
| Metoda leczenia | Wczesne stadium | Zaawansowane stadium |
|---|---|---|
| Chirurgia | 90% skuteczności | 50-70% skuteczności |
| Radioterapia | 80% skuteczności | 40-60% skuteczności |
| Chemioterapia | 70% skuteczności | 30-50% skuteczności |
Jak zapobiegać rakowi dziąsła? Porady dla zdrowia jamy ustnej
Profilaktyka raka dziąsła opiera się na kilku prostych, ale skutecznych zasadach. Przede wszystkim należy regularnie dbać o higienę jamy ustnej – szczotkować zęby co najmniej 2 razy dziennie, używać nici dentystycznej i płynów do płukania. Unikanie palenia tytoniu i ograniczenie spożycia alkoholu również znacząco zmniejszają ryzyko zachorowania.
Nie zapominaj o regularnych wizytach u dentysty. Kontrole co 6 miesięcy pozwalają wykryć niepokojące zmiany na wczesnym etapie. Jeśli zauważysz jakiekolwiek objawy raka dziąsła, takie jak krwawienie czy ból, nie zwlekaj z wizytą u specjalisty.
Kiedy udać się do lekarza? Niepokojące sygnały
Niektóre objawy powinny skłonić Cię do natychmiastowej konsultacji z lekarzem. Jeśli ból dziąsła utrzymuje się dłużej niż 2 tygodnie, towarzyszy mu krwawienie lub obrzęk, nie ignoruj tych sygnałów. Inne niepokojące symptomy to trudności w przeżuwaniu, niegojące się rany oraz zmiany w ustawieniu zębów.
Pamiętaj, że wczesna reakcja może uratować życie. Nie czekaj, aż objawy same miną – im szybciej zgłosisz się do specjalisty, tym większe szanse na skuteczne leczenie raka dziąsła.Rak dziąsła a inne choroby jamy ustnej – jak je odróżnić?
Rak dziąsła może przypominać inne schorzenia jamy ustnej, takie jak zapalenie dziąseł czy paradontoza. W obu przypadkach występuje krwawienie, ból i obrzęk. Jednak w przypadku raka objawy są bardziej uporczywe i nie ustępują po standardowym leczeniu.Kluczowe różnice to obecność guzków lub zgrubień na dziąsłach, a także niegojące się rany. Jeśli zmiany nie reagują na leczenie domowe, konieczna jest dokładna diagnostyka, aby wykluczyć nowotwór.
Jakie są rokowania w przypadku raka dziąsła?
Rokowania w przypadku raka dziąsła zależą od wielu czynników, w tym od stadium choroby w momencie diagnozy. Wczesne wykrycie daje szansę na całkowite wyleczenie, z 5-letnim przeżyciem sięgającym nawet 80%. W zaawansowanych stadiach rokowania są niestety gorsze, a szanse na przeżycie spadają do 30-50%.
Czynniki wpływające na rokowania to:
- Stadium choroby w momencie diagnozy
- Obecność przerzutów do węzłów chłonnych
- Ogólny stan zdrowia pacjenta
- Skuteczność zastosowanego leczenia
Wsparcie dla pacjentów z rakiem dziąsła – gdzie szukać pomocy?
Walka z rakiem dziąsła to nie tylko leczenie medyczne, ale także wsparcie psychiczne. W Polsce działa wiele grup wsparcia dla pacjentów onkologicznych, gdzie można znaleźć pomoc i zrozumienie. Organizacje takie jak Polska Koalicja Pacjentów Onkologicznych oferują bezpłatne konsultacje i materiały edukacyjne.
Specjalistyczne ośrodki leczenia, takie jak Centrum Onkologii w Warszawie czy Krakowie, zapewniają kompleksową opiekę. Nie bój się prosić o pomoc – zarówno lekarze, jak i organizacje pozarządowe są po to, aby Ci pomóc w tej trudnej sytuacji.
Wczesna diagnoza kluczem do walki z rakiem dziąsła
Wczesne wykrycie raka dziąsła znacząco zwiększa szanse na skuteczne leczenie i całkowite wyleczenie. Jak wynika z artykułu, w początkowych stadiach choroba może nie dawać wyraźnych objawów, dlatego tak ważne są regularne kontrole u dentysty. Wczesne symptomy, takie jak niewielkie krwawienie czy dyskomfort, często są bagatelizowane, co opóźnia diagnozę.
Artykuł podkreśla, że rak dziąsła w zaawansowanych stadiach powoduje silny ból, obrzęk i trudności w jedzeniu. Właśnie dlatego nie należy ignorować niepokojących objawów, takich jak niegojące się rany czy zmiany w ustawieniu zębów. Szybka reakcja i konsultacja z lekarzem mogą uratować życie.
Podsumowując, kluczowe jest regularne dbanie o higienę jamy ustnej oraz unikanie czynników ryzyka, takich jak palenie tytoniu czy nadużywanie alkoholu. Wczesna diagnoza, wsparcie specjalistów i dostęp do nowoczesnych metod leczenia dają realną szansę na pokonanie choroby.
